8月23日,一名建筑工人在东方市方舱医院加急施工过程中,不慎被打磨机切割到小腿,伤及动脉,顿时鲜血直流,疼痛不已。
经过当地医院加压包扎及夹板固定后,当天下午4时左右,急救车顺利将伤者送往海南省人民医院。经专家组分析研判及流行病学史调查,尽管伤者从高风险地区来,但是由于病情严重,我院第一时间开通了绿色通道,尽全力救治伤者。
早就在传染科综合病区等候的陈汉东主任医师、王琰主治医师在详细询问患者病史、查体及辅助检查后向科主任邱勋永汇报,在充分考虑患者病情后,迅速制定了一期彻底清创、探查组织损伤情况并根据情况修复组织、应用外固定架牢固固定胫骨骨折的手术方案,尽全力保留患者肢体。
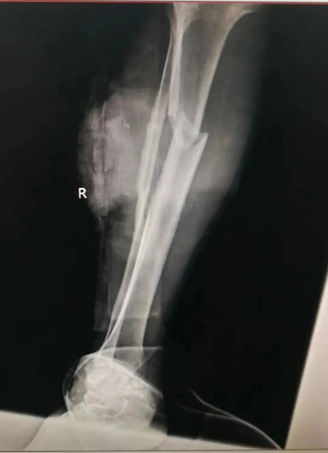
患者右小腿胫骨骨折x光片
“右小腿切割伤、胫骨开放性骨折、腓骨粉碎性骨折、伤口内可见大量挫烂的肌肉……”一个近8cm的斜型伤口横在伤者小腿前外侧,创伤巨大、肌肉大量挫烂且外翻,即使是已有近30年临床经验、处理过无数次四肢复杂损伤手术的陈汉东,看到这么大的创伤,内心都稍感发怵。意识到病情的严重性,待各项血液检查结果出来后,陈汉东表示:“立即手术!”
为最大程度降低风险,按照医院防护要求,陈汉东和王琰需身着防护服、戴防护面屏及无菌手套等执行手术。
手术台上,止血消毒、清创探查、胫骨复位、外固定架固定……陈汉东、王琰按照治疗方案,一步一步地为伤者处理伤口,根据经验彻底减去挫烂的肌肉组织,每一步都格外谨慎、认真。由于外伤导致伤者胫骨前动脉缺损3cm,并且伤口不能一期闭合,在术中彩超确定胫后动脉通畅后结扎胫骨前动脉,并应用负压装置临时封闭创面。

一个多小时后,手术顺利结束,在王琰的护送下伤者返回综合病区,并确定负压装置无漏气,患者术后给予抗感染治疗。
王琰向记者表示,后期还需通过皮瓣、植皮或皮肤牵拉等治疗闭合创面,并通过肌腱转位等一系列方式恢复患者的功能。
“你们守护东方,我们守护您。”陈汉东表示,伤者是因为抢建方舱医院受的伤,为守护一方平安出了汗,又流了血,我们作为医务工作者,更需要为这些参与抗疫的建设者们提供更优质的医疗保障服务,提高应急处置和综合救治能力,切实保障人民群众生命安全和身体健康。